HALUX - aneb vybočený palec
Lekári tento problém riešia chirurgicky, zosekaním kosti, ktorá trčí z nohy. Nie vždy úspešne, bolesť niekedy pretrváva aj po operácií.
Pritom sa tento problém dá vyriešiť omnoho jednoduchším spôsobom.
Mnoho ľudí si myslí, že sa jedná o výrastok ,ale je to len vybočená kosť.
My tento problém riešime nasledovne : Hallux – napravíme a keď je treba, naučíme klienta cvik, ktorým si vybočený palec dokáže zrovnať do pôvodnej polohy, teda aby nevyčnieval z nohy.
Vrátiť hallux do pôvodnej polohy je dlhodobejší proces, (závisí od štádia vybočenia a od klienta ako poctivo cvičí),kedže aj samotné vybočovanie kosti trvalo roky,než dosiahlo deformity nohy.
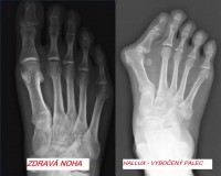
Aby ste vedeli,čo vybočený palec vlastne je, prikladám fotky haluxu, pre pochopenie, že sa nejedna o výrastok,ale len o vykĺbenú kosť.
Pritom sa tento problém dá vyriešiť omnoho jednoduchším spôsobom.
Mnoho ľudí si myslí, že sa jedná o výrastok ,ale je to len vybočená kosť.
My tento problém riešime nasledovne : Hallux – napravíme a keď je treba, naučíme klienta cvik, ktorým si vybočený palec dokáže zrovnať do pôvodnej polohy, teda aby nevyčnieval z nohy.
Vrátiť hallux do pôvodnej polohy je dlhodobejší proces, (závisí od štádia vybočenia a od klienta ako poctivo cvičí),kedže aj samotné vybočovanie kosti trvalo roky,než dosiahlo deformity nohy.
Aby ste vedeli,čo vybočený palec vlastne je, prikladám fotky haluxu, pre pochopenie, že sa nejedna o výrastok,ale len o vykĺbenú kosť.
Fotky nájdete nižšie pod článkom.
PRE POROZUMENIE VIĎ FOTO
pre zväčšenie klikni na obrázok

